科普文章
育儿课堂丨抓住换牙关键期,让孩子告别漫长牙齿矫正路!
“妈妈快看!我的牙齿后面又长了一颗牙齿,我是不是要变小鲨鱼了?”

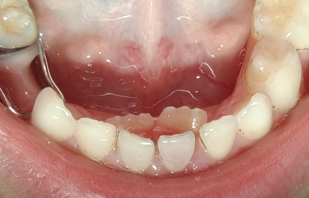
当孩子张开嘴,露出那排典型的双排牙,很多家长都会又惊又笑。这可不是什么超能力,而是儿童口腔科门诊中,我们最常遇到的情况之一——乳牙滞留。
一、什么是乳牙滞留?
恒牙已经萌出,但相对应的乳牙未能按时脱落;或者过了换牙年龄,乳牙依然顽强地留在原位。通俗的讲,孩子的乳牙到了该“退休”的年纪却赖着不走,而恒牙已经迫不及待地想“上岗”,它是儿童口腔常见的发育异常之一。
二、如何发现乳牙滞留?
1.最直观的信号:“双排牙”。这是最常见的表现,尤其是在下前牙区。您会看到里面长出了一颗新牙,而外面的乳牙却未脱落,形成内外两排牙齿,像小鲨鱼一样。即使乳牙最终脱落,也可能因为空间被占据,导致新萌出的恒牙排列拥挤、错位。
2.乳牙“稳如泰山”。到了换牙年龄(通常6-12岁),相邻的牙齿都陆续更迭了,唯独某一两颗乳牙没有丝毫松动迹象。
3.恒牙萌出位置异常。乳牙霸占着位置,导致恒牙从它的内侧、外侧或者更远的地方歪着长出来。
三、为什么乳牙会“赖着不走”?
1.饮食过于精细(首要元凶):这是目前临床上最常见的原因。很多家长把食物做得太软烂,苹果削片、玉米剥粒、坚果打粉……孩子缺乏充分的咀嚼锻炼,牙齿和颌骨得不到应有的生理性刺激,导致乳牙牙根吸收缓慢,无法自然脱落。
2.恒牙胚位置异常:如果恒牙的“种子”(牙胚)没有长在乳牙的正下方,而是“迷路”跑偏了,就无法对乳牙牙根形成有效的压迫吸收,乳牙自然就没有脱落的动力。
3.乳牙龋坏与治疗:严重的乳牙龋坏可能引起牙根周围发炎,与牙槽骨发生粘连(称为“牙固连”),像焊住了一样,阻碍了牙根吸收和恒牙萌出。
4.先天缺失恒牙:少数情况下,对应的恒牙天生缺失,没有继承恒牙的压迫,乳牙牙根不被吸收,就可能“超长服役”多年。
四、如何预防乳牙滞留?
预防远比治疗更重要,核心秘诀就是——让孩子“啃”起来!
多吃耐嚼食物:给孩子提供富含纤维的食物,如整个的苹果、玉米、甘蔗、芹菜、牛肉干等。充分的咀嚼能像锻炼身体一样,有效刺激颌骨发育,并促进乳牙牙根自然吸收。
告别过度精细喂养:让孩子用自己的牙齿去完成撕咬、咀嚼的工作,这是他们口腔发育的必经之路。
定期口腔检查:从孩子3岁起,每半年到一年带他看一次牙医。医生能通过观察和拍X光片,早期发现恒牙胚的异常,并评估乳牙牙根吸收情况。
五、遇上乳牙滞留怎么办?
一旦发现,请及时带孩子看儿童口腔医生!
1.“双排牙”的紧急处理:
如果乳牙已经明显松动,可以鼓励孩子多啃硬东西,同时由家长在消毒后,尝试摇晃、扭转乳牙,有时可拔下。
如果乳牙纹丝不动,医生会根据情况,尽快将滞留的乳牙拔除。这相当于为恒牙腾出“空间”,大多数情况下,恒牙在空间充足后,会靠着舌头的力量慢慢回到正确的位置上。
2.因恒牙缺失或粘连导致的滞留:
医生综合评估,可能建议暂时保留乳牙,并定期观察,让它尽可能久地履行咀嚼功能。
若乳牙最终无法保留,则需为后续的间隙管理或正畸治疗做准备。
六、乳牙滞留的预后如何?
总的来说,预后是良好的。对于最常见的“双排牙”,只要及时拔除滞留乳牙,保证恒牙有足够空间,大多数轻度错位的恒牙都能自行调整排齐。但如果延误治疗,导致恒牙完全在错误的位置上定型,或造成严重的牙列拥挤,那么未来可能就需要通过牙齿矫正来解决了,费时又费力。
医生寄语:
爸爸妈妈们,孩子的换牙期是牙颌面发育的“黄金时期”。别让一颗赖着不走的乳牙,影响了孩子一整排牙齿的未来。愿每个孩子都能拥有一口整齐健康的牙齿和自信灿烂的笑容!
(文章图片来源于网络,如侵权请联系邮箱进行删除)
文图:口腔科 周宇琨
审稿:孙舒寒
编辑:陈劼明
责编:刘芙蓉
审核:鲁美苏
医院地址:郑州市康复前街7号
母婴服务热线:0371-66903131
投稿反馈邮箱:zdsfyjkjyk@126.com